超音波の減衰

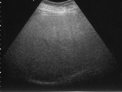
(脂肪肝でみられる深部減衰)
減衰
減衰
超音波は生体内(媒質内)を進むにつれ、次第に音圧が減少する。この超音波の伝搬に伴う音波の振幅低下を減衰といい、超音波の減衰には吸収、反射、散乱、屈折、回析といったものがある。
吸収減衰
超音波は生体内の組織等に吸収されて減衰する。吸収された超音波は主に熱エネルギーに変換される。
干渉
複数の波が重ね合ったとき、波が打ち消し合ったり強め合ったりすることを干渉といい、弱め合う干渉が起こる状況においては超音波エネルギーが減衰する。
散乱減衰
超音波が四方八方へ散らばる現象。波長に比べて十分に小さい物体に当たった場合に起こる散乱をレイリー散乱という。超音波は散乱によっても減衰する
拡散減衰
超音波の広がりによるエネルギー低下のこと。点音源では超音波が四方八方へ広がってしまい音源の2乗に反比例して音圧が減衰する。これを防ぐために口径をおおきくするわけだが、それでもフラウンフォーファーゾーンでは超音波が拡散してしまう。
周波数依存減衰
高い周波数成分ほど進行する距離が長くなると減衰が大きくなる。したがって周波数帯域の広いワイドバンドなパルス波においては進行距離が長くなるほど高周波成分から減衰し、結果的に中心周波数の低下をきたす傾向にある。