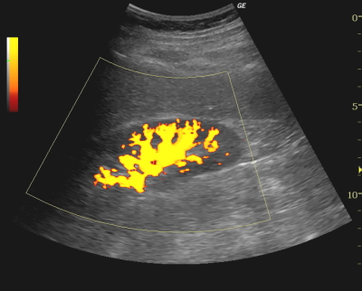
パワードプラ法(PDI:power doppler imaging)
パワードプラ法(PDI:power doppler imaging)は、カラードプラと同様に生体内血行動態に色を付けBモード画像上に重ね合わせながらリアルタイムで表示する方法であるが、パワードプラではドップラー効果で生じるドプラシフトを平均流速で表示するカラードプラとは異なり、信号強度を表示する。従って血流方向の色分けはできないが、低速血流や超音波ビームとの角度が大きいようなカラードプラでは感度の不足となる部位を感度良く表示できる。

近年では非常に高精細なパワー表示、カラー表示も可能になってきており、血管からのはみ出しや滲みが少なく、超低速血流を高精度で表示する技術も進んでいる。
関連ページ
- ドップラー効果と原理
- ドップラー効果:医用超音波の基礎工学を簡単に解説するサイトです。超音波検査の原理や装置の仕組みについての説明。
- パルスドプラ法
- PW:医用超音波の基礎工学を簡単に解説するサイトです。超音波検査の原理や装置の仕組みについての説明。
- 連続波ドプラ法
- CW:医用超音波の基礎工学を簡単に解説するサイトです。超音波検査の原理や装置の仕組みについての説明。
- カラードプラ法
- CFM:医用超音波の基礎工学を簡単に解説するサイトです。超音波検査の原理や装置の仕組みについての説明。