カラードプラ法(CDI:color doppler imaging)
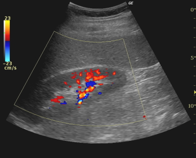
カラードプラ法(CDI:color doppler imaging)は、生体内血行動態に色を付けBモード画像上に重ね合わせながらリアルタイムで表示する方法である。
パルスドプラや連続波ドプラが、ごく狭い範囲の血流情報を定量的に表示するのに対し、カラードプラ法では2次元断層面上の広範囲に渡る血流情報が得られる。また、血流情報を波形ではなく色として表示するため視覚的に捕らえやすいという利点がある。カラー表示には速度表示の他、速度-分散表示もあり、検査対象領域により様々な表示が可能である。

カラー表示はROIを拡大するとFR等に悪影響が出る他、低速流や入射角によっては感度低下を起こす、エイリアシングは不可避といった弱点もあるため装置の調整が必要となることも多い。また実際の検査においては検査対象領域により大きく設定が変わるためプリセットをいくつか組んでおくことも大切である。
参考資料
関連ページ
- ドップラー効果と原理
- ドップラー効果:医用超音波の基礎工学を簡単に解説するサイトです。超音波検査の原理や装置の仕組みについての説明。
- パルスドプラ法
- PW:医用超音波の基礎工学を簡単に解説するサイトです。超音波検査の原理や装置の仕組みについての説明。
- 連続波ドプラ法
- CW:医用超音波の基礎工学を簡単に解説するサイトです。超音波検査の原理や装置の仕組みについての説明。
- パワードプラ法
- PDI:医用超音波の基礎工学を簡単に解説するサイトです。超音波検査の原理や装置の仕組みについての説明。